杜万全堂九蒸九晒技艺入选陕西省第八批非物质文化遗产代表性项目名录
西安交通大学第二附属医院取消门诊预交金,累计为8.3万人次退回1420万元
陕西中医药大学专家组赴眉县中医医院开展王焘研究会专项调研
北京中医药大学与陕西省卫健委、铜川市人民政府签署战略合作协议
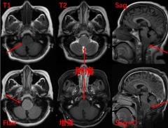
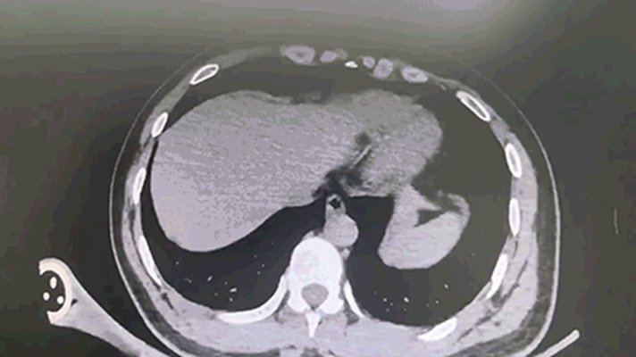
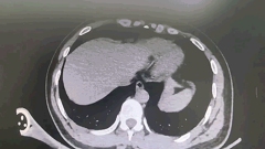
早高峰车祸重伤 西安国际医学中心医院多学科接力上演生死时速