西安国际医学中心医院多学科协作 攻克18cm肾巨瘤难题
9cm的肾脏下部生出了18cm的肿瘤,“恐怖”这是泌尿外三科副主任祝广峰打开患者的腹腔时脑海中浮现出的第一个词,目光所及之处皆在渗血。
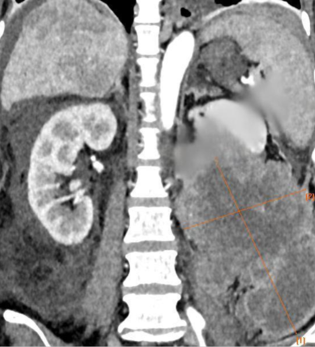
3次癌症 18cm巨瘤吞噬左肾
从0到18cm,尺寸约有正常肾脏2倍大的肿瘤,为什么才被发现?
“只要不体检,就没有问题。”55岁的洋洋曾这样告诉自己。
18年前,洋洋被查出乳腺癌,此后,命运就像是和她开了巨大的玩笑,2017年确诊卵巢癌。
“去年查出糖尿病,医生让做全面检查,她死活不肯,就怕再查出不好的病。”洋洋的丈夫提起这事,满是心疼。就像是中了“基因彩票”,那段时间,洋洋意志低迷,内心极度拒绝一切影像学检查,直到2025年8月的持续高烧、腹泻,将她拉回现实。
CT结果让人震惊:她的左肾里,长着一个18cm的巨大肿瘤,比约9cm的正常肾脏整整大了2倍,腹腔、盆腔满是积液,结肠被挤压变形——她虚弱到无法行走,吃不下一口饭,人消瘦至40公斤。

3轮MDT会诊、3周生死竞速
“手术做不成。”这是泌尿外科、结直肠外科、ICU、麻醉手术室多位专家的第一反应。
“自身太弱,敌人太恶”——泌尿外三科主任张运涛解释:
首先,患者有乳腺癌和卵巢癌病史,严重贫血、低蛋白、凝血功能极差,再加上肺部感染、肺动脉高压,手术中可能呼吸衰竭,连麻醉都要冒巨大风险。
其次,手术的核心难点在于肿瘤体积巨大,已经侵犯了结肠并合并感染。手术极可能引发术中大出血、多器官衰竭甚至死亡。
第三,患者处于严重的恶液质状态,并伴有感染。加之手术创面极其巨大——从脾脏下缘一直延伸到盆腔,整个左侧腹腔都是手术区域。无论是肿瘤侵犯的区域,还是因炎症形成的脓腔,都是手术无法回避的挑战。
但如果不做,她可能仅剩十几天生命。
洋洋及家属态度坚定:“哪怕有一丝希望,我们都要试!”
为了这一丝希望,医院启动了3轮全院多学科MDT会诊——泌尿外科、结直肠外科、麻醉手术科、ICU、营养科、呼吸内科专家坐在一起,从术前调整到术后护理,制定了“营养支持—控制感染—调整指标”的闯关计划。
整整3周,医护团队每天盯着洋洋的各项指标。术前状态最好的一周,洋洋上了手术台,但医护都知道,这只是开始。
没有一个地方不在渗血,就像在沼泽里找路
麻醉手术科医生党江坤为洋洋实施全身麻醉,一旁,泌尿外三科张运涛主任、结直肠外科王珂副主任团队严阵以待。
情况比术前预估的还严重:肿瘤质地硬且已穿透结肠,粪便漏满腹腔。大量脓液夹杂着粪液,随着主刀医生张运涛的手术刀的递进喷涌而出。

肿瘤与后腹壁、侧腹膜粘连紧密,尤其与横结肠中段肠管“难舍难分”,王珂、武珍珍医师协助,开展联合横结肠切除术。
“当时只能先吸干净脓液,再一点点分离肿瘤和肠管,稍微用力,肠管就可能破得更大。”王珂回忆。
更凶险的是,由于洋洋的凝血机制崩溃,切除肿瘤后,整个创面到处渗血,吸引器刚吸完,血又涌上来,根本找不到明确的出血点。祝广峰在血泊中用大量的生理盐水及无菌蒸馏水冲洗腹腔,最大限度降低术后感染风险。


手术就在“止血—切除—再止血”的紧张节奏中推进。6小时的手术,出血量达8000毫升——对于体重45公斤的人,全身血液总量还不到4000ml,相当于全身血液换2遍!
医生提醒:体检,再忙也别忽视!
术后,洋洋已从ICU转入普通病房,现在已经能吃流食。张运涛主任特别提醒:
别用拒绝体检逃避疾病:尤其是有癌症病史、慢性病的人,定期体检能早发现早治疗,避免小病成大患;
身体出现异常别硬扛:持续发烧、体重骤降、食欲差、腹痛等症状,可能是身体发出的求救信号,一定要及时就医。
愿每个与疾病抗争的人,都能遇到不放弃的医生,也能给自己多一点希望——毕竟,活着就有无限可能。





























